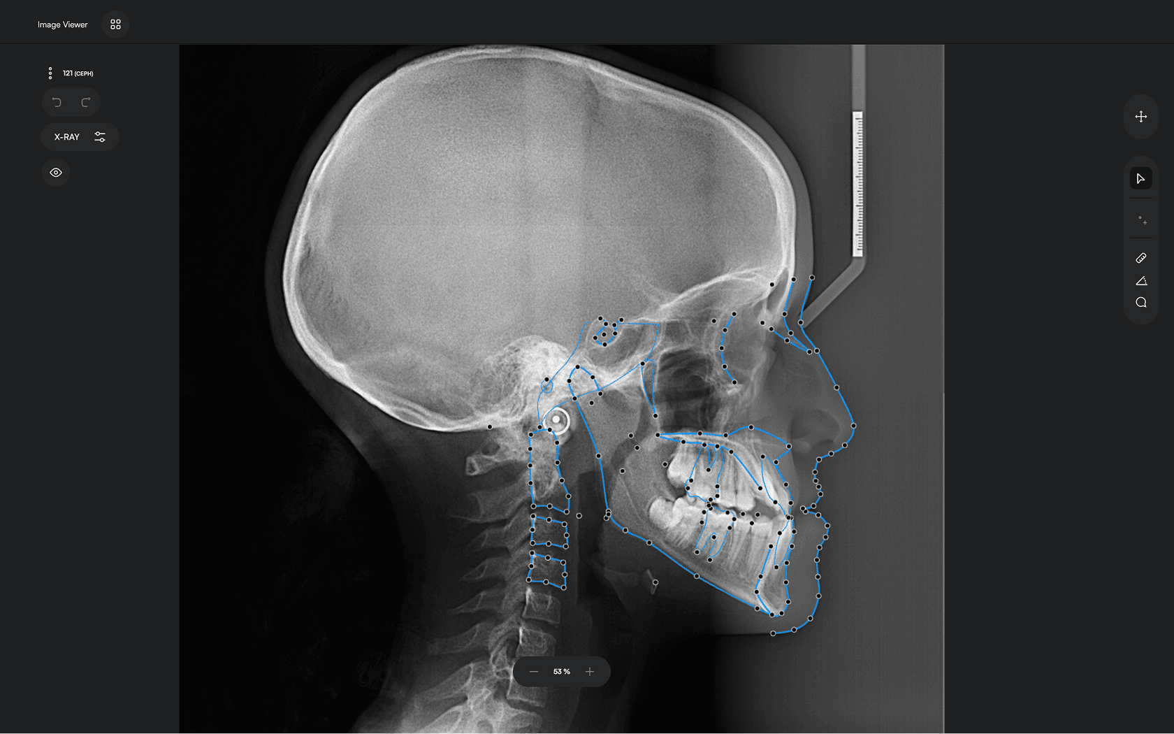
AI-driven Automated Lateral 
 Cephalometric Tracing
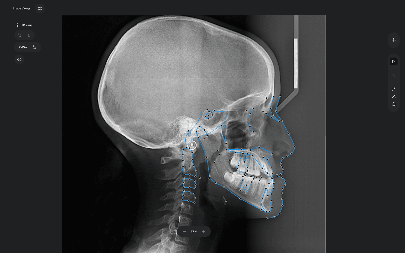
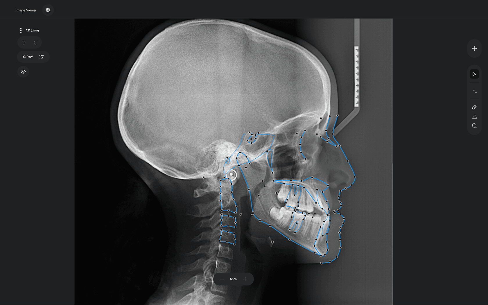
150+ landmarks traced in seconds
Automated analyses
Download detailed reports



Accurate. Fast. Effortless.
Unparalleled Speed
Identify 150+ orthodontic landmarks in under 10 seconds — a task that 
 traditionally may take more than 30 minutes.


Diverse Analysis
Access automated studies like Steiner and Jefferson to assist in clinical assessment and enhance case evaluations.
Powerful Insights
Experience a comprehensive assessment of skeletal, dental, and soft tissue discrepancies.
Clear Reporting
Create concise, clear reports to build confidence, enhance patient 
 communication and ensure transparency.

Why EAI Trace?
Cost-Effective. As low as A$ 0.21 per analysis, enjoy affordability without compromising on quality.
Risk-Managed. Fulfill compliance requirements and protect your practice from potential risks.
Accurate and Consistent. Our high-precision AI technology ensures identical outcomes every time. quality.
Clinically Proven. Backed by research papers demonstrating speed and accuracy
“Eyes of AI™ not only streamlines my workflow but also enhances diagnostic precision, making it an indispensable tool for orthodontic diagnosis and treatment planning."

Dr. Hatem Saifeldin
Associate Professor of Orthodontics, Consultant Orthodontist
3 Steps to Supercharging Your Practice
Sign Up
Create your account
1
Upload X-ray
Upload your lateral cephalometric X-rays
2
Run AI
Let the software handle tracing and reporting
3


Affordable and Scalable Pricing
Achieve precision and efficiency without breaking the bank.
As low as
per analysis
A$ 400 Onboarding Fee (one-time)
Limited Time Offer - Waived
1 month
A$ 150 / month
Billed monthly
6 month
A$ 127.5 / month
Billed semi-annually
12 month
A$ 105 / month
Billed annually
500 AI runs / month
Trace 150+ landmarks
Access 10 analyses
One-click reporting
In the Spotlight
Latest News
In the Press
August 28, 2025
$10.6M in funding boost for industry research projects
The University is proud to be a partner in four collaborative research projects that have secured over $10.6 million from the Australian Government's Cooperative Research Centres Projects (CRC-P) program.
Read on sydney.edu.au
In the Press
August 27, 2025
Australian software company to lead multimillion dollar project on AI gum disease detection
Australian software company Eyes of AI has received government financial backing to turn a painful, slow check for periodontitis into a fast, contactless scan and put Australia at the centre of dental innovation.
Read on bitemagazine.com.au
Out with the manual. In with simple, powerful, innovative solutions.